陣痛開始後、3時間ほど経っても子供が生まれて来ないとの主訴で夜間救急対応をしました。
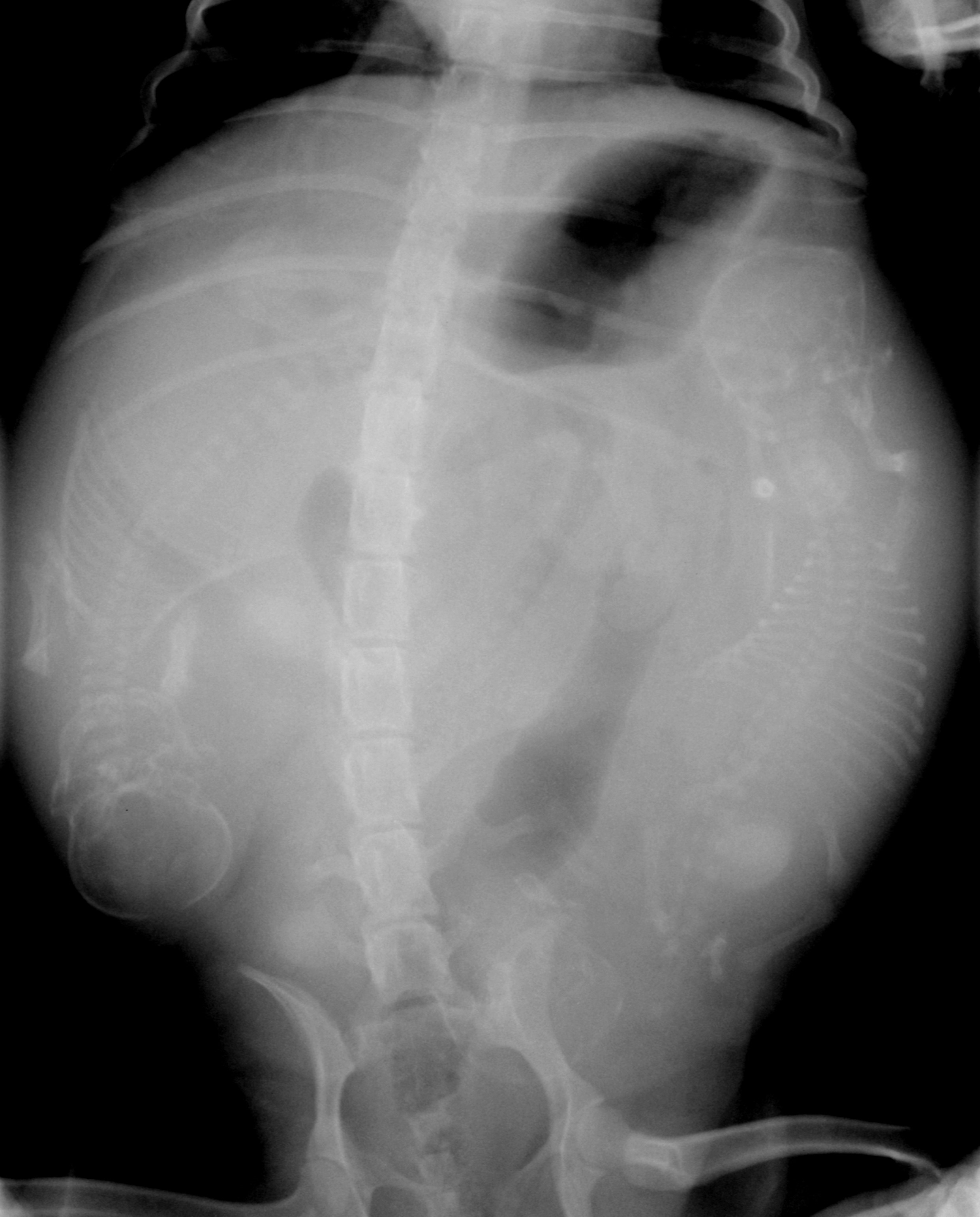
陰部からは羊膜の一部が露出しており、レントゲン検査にて3頭の子犬を確認しました。
緊急で帝王切開し、3頭とも無事に生まれました。

↑お腹の中に3頭の子犬がいるのが確認できます
↑妊娠子宮を露出させたところ
犬の出産
犬の出産は交配後63日程(63~65日前後)で起こります。
出産時にはスムーズに生まれてくれると良いのですが、中には難産になり帝王切開が必要となる事もあります。
帝王切開には計画的に行うものと出産時に難産と判断され緊急で行うものがあります。
計画的に行う場合・・・
〇母体の体格が小さい場合
〇産子数が1-2頭と少なく、大きく育ち過ぎてしまう事が予測される場合
〇ブルドックなどの頭部が大きい犬種で胎児の産道通過が難しいと予測される場合
緊急で行う場合・・・
〇交配から70日以上経過している場合
〇体温が1-2℃以上低下してから1日経っても分娩が起こらない場合
〇強い陣痛から30分以上経っても分娩が起こらない場合
〇1頭を出産後に次の胎仔を出産するまでに4時間以上空いている場合
〇破水が起きてから数時間経っても生まれてこない場合
〇胎盤が剥がれて緑色の分泌物が陰部から出てきてしまった場合
難産は胎仔だけでなく、母体も危険にさらしてしまう為、出産日の把握・基礎体温の測定・難産になった際の受け入れ先の確保(かかりつけ医だけではなく、救急病院の把握および事前連絡)など出産前の準備が大変重要になります。
妊娠・出産に関しても当院へお気軽にご相談ください。













