犬の脾臓摘出

いつも元気なワンちゃんでしたが、ペットドックを行った際に脾臓に腫瘤が観察され、脾臓摘出手術を実施いたしました。

病理診断結果では「脾臓リンパ性結節性過形成」との診断でした。

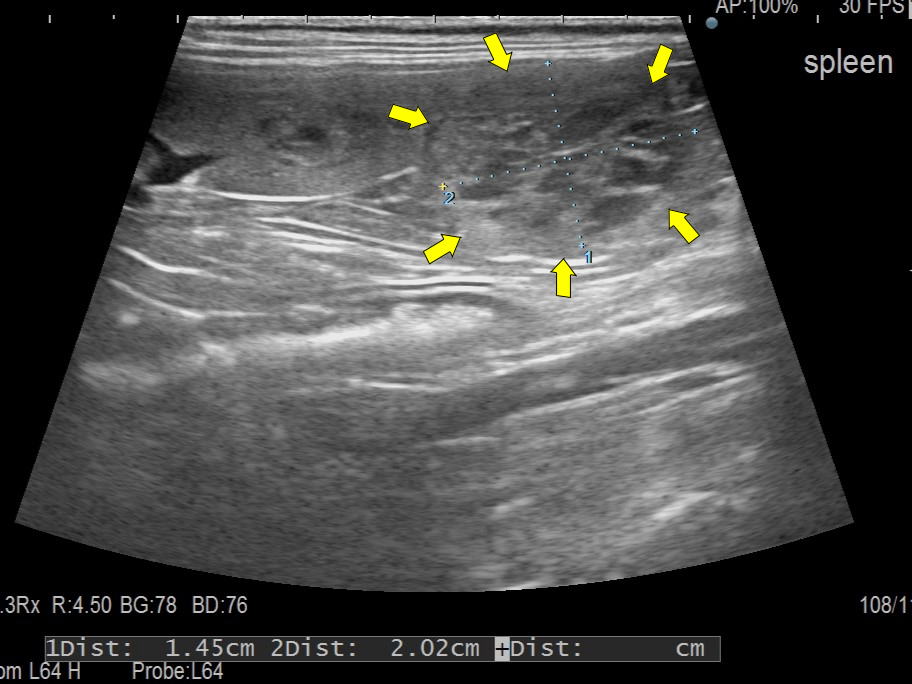
超音波検査画像:脾臓の矢印で囲まれた所に腫瘤が認められた

開腹後に脾臓を露出:手前に腫瘤が認められる

脾臓腫瘍:脾臓リンパ性結節性過形成

本疾患は高齢犬によくみられる非腫瘍性病変とされています。脾臓表面の膜から隆起して観察されます。本組織は非常に脆弱な組織であるため、増大に伴い破裂・出血起こすこともある為に注意が必要なものです。

治療

このタイプの腫瘤は切除で良好な経過を得られるために手術による切除が選択肢となります。

2023年03月25日