肥満細胞腫

数カ月前から体にしこりができて徐々に大きくなってきているとの主訴で来院されました。

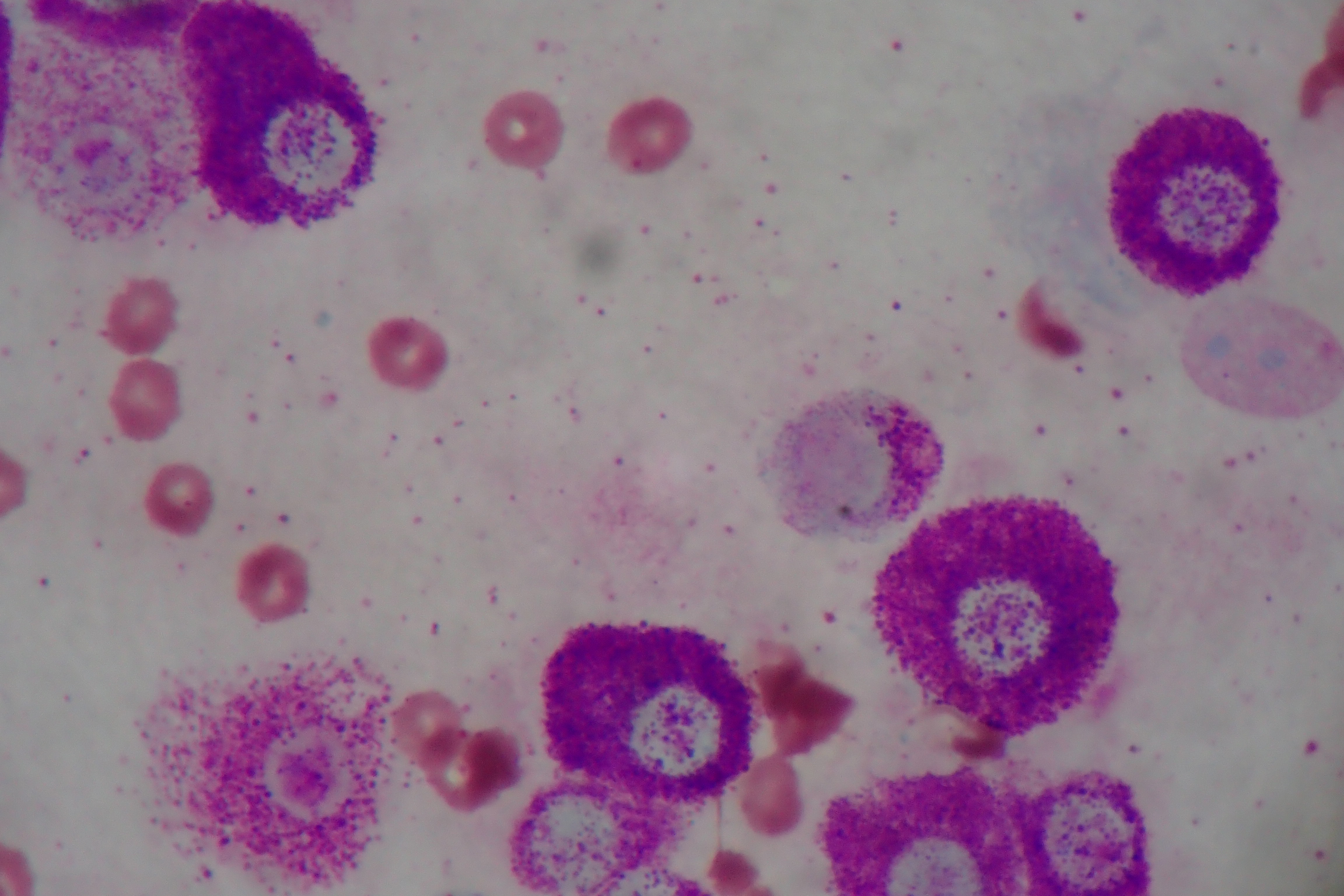
右脇腹にしこりが観察され、細胞の検査をすると顆粒を含む独立円形細胞がみられ、肥満細胞腫と診断し、手術での切除を行いました。

肥満細胞腫はタコの足のように広範囲に根をはる為、腫瘤よりも大きく切除しなくてはなりません。

↑細胞の検査で見つかった顆粒細胞をもつ独立円形細胞(肥満細胞)

↑術野の確保

↑腫瘤よりも大きな範囲での切除

↑腫瘤底面の剥離

↑腫瘤切除後

↑手術終了

2021年04月21日