お尻が急激に膨らんで来て、尿と便の出が悪いとの主訴で緊急来院されました。
左右両方の会陰部(肛門周囲)が重度に膨張し、レントゲンおよび超音波検査にて右側に膀胱が嵌頓(ヘルニア内に膀胱が入り込んだ状態)していました。左側には炎症による漿液貯留を認めました。
直腸の触診検査では、直腸憩室(直腸壁の伸展)はみられず、左右からの拡張により直腸が圧迫されて排便が出来ない様子でした。
膀胱の嵌頓に伴い尿道閉塞を起こしていた為、緊急手術を行いました。手術内容としては、去勢手術・精管利用による膀胱固定手術・両側の会陰ヘルニア整復手術を行いました。
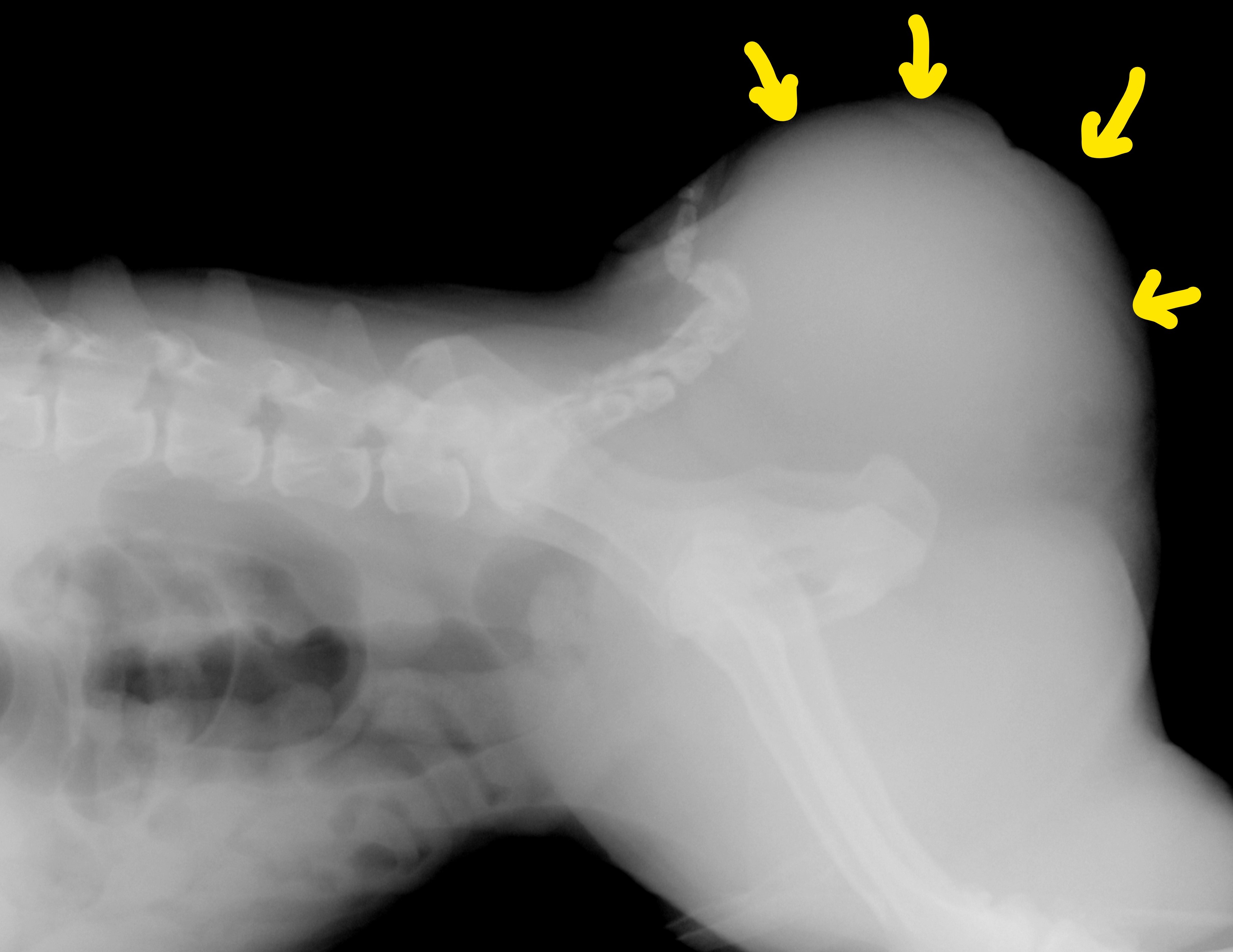
レントゲン画像:会陰部(矢印)が重度に膨らんでいる
去勢時に精管を分離・温存し、お腹側から膀胱を引っ張り出し、精管(矢頭)を腹壁に固定して膀胱の再嵌頓を予防
腸管内のガス貯留(黄色〇)が重度でお腹の中に臓器を戻すことが出来ず、浣腸にてガスを吸い出し腹圧を解除してから閉腹
会陰ヘルニアの手術を開始:肛門の左右に拡張したヘルニアが観察される

左右のヘルニア孔を医療用メッシュにて塞ぎ整復
ヘルニアによって伸びてしまった皮膚は切除・整形し、縫合して終了
犬の重度会陰ヘルニア
本疾患は未去勢の子に多く、男性および女性ホルモン(アンドロゲンとエストロゲン)が関与し、直腸を支えるお尻周りの筋肉が弱まり、孔が開いてしまった状態を言います。その孔から直腸やお腹の中の臓器が入り込んでしまい、排便・排尿障害が出てしまうことがあります。
本例は膀胱が入り込んでしまい、尿閉塞状態に陥っていた為、急遽手術を実施させて頂いた子です。膀胱に限らず、臓器の入り込みが重度の場合は、開腹して腹腔内臓器を腹壁固定するなどしてヘルニアへの負担軽減を考慮しなくてはなりません。
会陰ヘルニアに限らず「尿が出ない・出づらい」という症状は緊急性の高い病態の可能性がある為、早急な診察・対応が必要となります。また、未去勢で肛門周囲に膨らみがみられた際には、早めに病院へ相談する事をお勧めします













