猫のひも状異物

 肛門から紐が垂れさがっていて、嘔吐したら口から紐が出てきたとの主訴で来院されました。

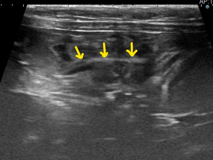
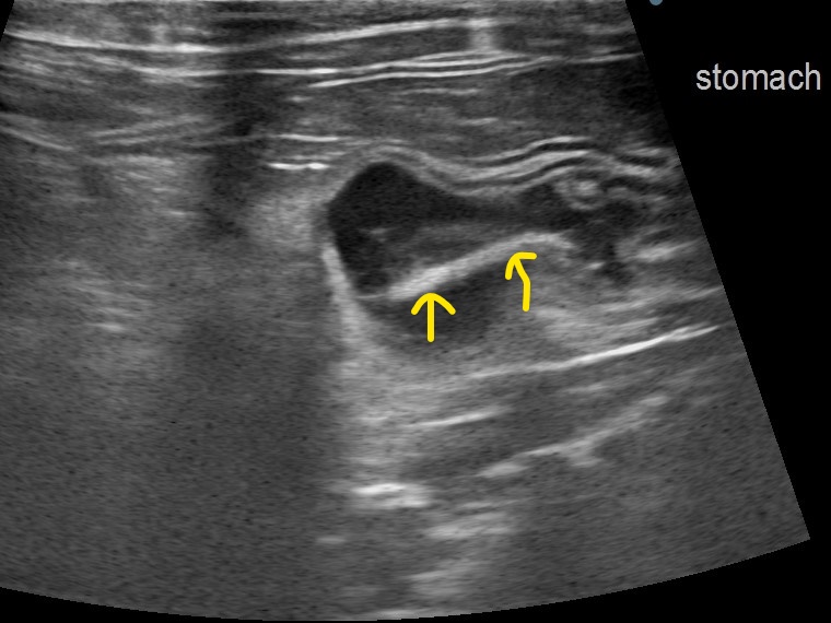
 レントゲン検査およびエコー検査にて胃腸内にひも状異物が観察され、特徴的な腸管の蛇行(アコーディオン陰影)を認めました。

 緊急で開腹手術を行い胃腸管内のひも状異物を除去しました。

矢印:腸管内のひも状異物

矢印:胃内のひも状異物

腸管のアコーディオン陰影像

開腹して腸管の一部を露出した状態:腸管の蛇行が観察された

腸管からひも状異物を取り出しているところ

1か所から一気に取り出す事は出来ない為、全3か所からひも状異物を少しずつ取り出しました

2022年04月01日