結膜領域に腫瘤病変がみられるという主訴でかかりつけ病院から紹介来院されました。
来院時の眼科検査所見では右眼6時方向に結節および血管新生が観察され、眼超音波検査で眼内に腫瘍病変はみられなかった為、本疾患を疑いました。
ステロイド治療に反応し、その後も寛解がみられました。
-
前眼部写真
充血が観察され、6時方向から血管新生がみられる
-
下眼瞼を牽引した前眼部
6時方向に結節がみられ、周囲に血管新生が認められました。
-
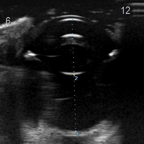
眼超音波検査
6時方向(写真左方向)に腫瘤病変がみられた
-
超音波拡大部
腫瘤病変がみられ、眼内からくる腫瘤病変はないことを確認
犬の結節性肉芽腫性上強膜炎
本疾患は単発性または多発性の肉芽腫様腫瘤が角膜辺縁で観察される疾患であり、角膜実質内に浸潤し、血管新生および角膜混濁を呈します。
コリー系やコッカースパニエル、シェルティーに多いとされていますが、どの犬種でも発生がみられます。
結節の細胞診検査で組織球・リンパ球・形質細胞が主にみられる慢性肉芽腫性炎症としてみられます。
発症の原因は不明で、眼超音波検査などによる眼内腫瘍との鑑別が重要となってきます。
治療
本疾患はステロイド治療および免疫抑制治療に良好な反応を示すとされています。治療による良化がみられた後、徐々に治療を弱めて行って再発しないかどうかをチェックし、寛解を目指します。













